Cancer discovery news
Our researchers are making the discoveries that defeat cancer. Read the latest findings from our world-leading research.
Visit our main news hub to read about news on new funding, our fundraising activities and much more. If you want to keep updated on our news, you can follow us on social media or sign up for our Search newsletter.
If you’re a journalist and want to find out more, you can contact our media relations team.

New biological findings open the door to improved outcomes for young adults with sarcoma
A new study has answered the long-standing question of why improvements in survival outcomes for young people with cancerous soft tissue tumours have lagged behind those for their paediatric and older adult counterparts.

Breast and ovarian cancer linked to thousands of new gene variants
New research identifies specific genetic changes that can increase someone's risk of breast and ovarian cancers, to help guide clinical decision-making

ESMO 2024: More than half of advanced melanoma patients treated with combination immunotherapy survive the disease for at least 10 years
More than half of people diagnosed with advanced melanoma are now surviving the disease for ten years or more when they receive a combination immunotherapy treatment, according to a study led by researchers from the ICR and The Royal Marsden.

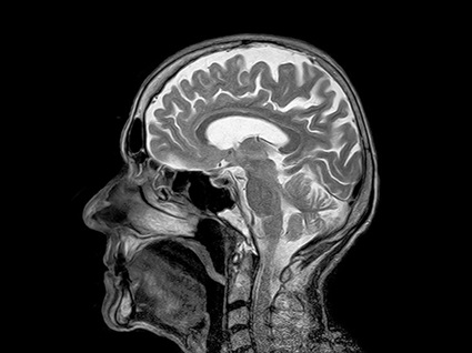
ESMO 2024: Routine MRI scans detect cancers in asymptomatic patients with rare genetic condition
A study has found that people with Li-Fraumeni syndrome would benefit from yearly whole-body MRI scans to screen for cancers.

Improved breast cancer risk tools on the horizon as major study reaches 20-year halfway point
Scientists are developing breast cancer risk tools that will help to identify women at high risk, even if they do not have a family history of the disease, thanks to one of the world’s largest and longest-running studies into the causes of breast cancer.

New method could lower radiotherapy doses for some cancer patients
A special type of MRI scan where patients inhale 100% oxygen could result in lower radiotherapy doses for some cancer patients.

Scientists uncover promising new treatment strategy for aggressive form of leukaemia
Scientists have uncovered a promising treatment strategy for an aggressive type of leukaemia – through targeting the enzymes that cells normally use to sense and adapt to changing oxygen levels.
Scientists discover how some advanced breast cancers become resistant to hormone therapy
New research has identified why some advanced oestrogen receptor (ER) positive breast cancers become resistant to hormone therapy, and has identified drugs currently in development that could keep disease stable for longer for these patients.

Scientists now able to predict response to radium-223 treatment in prostate cancer bone metastases
Researchers have found a way to predict which patients are likely to respond to radium-223, a standard treatment for advanced prostate cancer that has spread to the bones.

Next-generation trial shows five-drug combo can keep ‘ultra-high-risk’ bone marrow cancer at bay
Combining five existing drugs can keep a highly aggressive type of bone marrow cancer at bay for longer, an innovative trial has shown.

ICR-discovered drug to enter phase II clinical trial in ovarian cancer thanks to new research collaboration
An innovative cancer drug discovered by scientists at The Institute of Cancer Research, London, is set to enter a new clinical trial.
-547x410.jpg?sfvrsn=5e98f2c_2)
Innovative first in class HSF1 pathway cancer drug shows strong results in new study
A new, oral ‘first in class’ experimental cancer drug has shown potent activity against cancer cells and caused shrinkage of hard-to-treat human ovarian tumours grown in mice, a new study shows.